Impactful malaria science,
and the trailblazers leading the fight.

Impactful malaria science, and the trailblazers leading the fight.

The Johns Hopkins Malaria Minute summarizes the latest malaria research in 60 seconds and interviews the scientists behind the discoveries. Produced monthly by the Johns Hopkins Malaria Research Institute.

MALARIA MINUTE • 12 NOVEMBER 2024

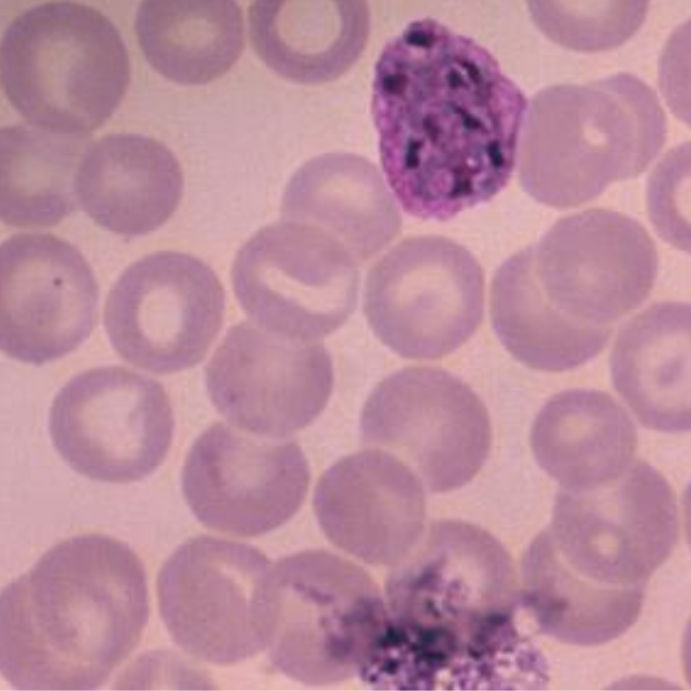
Using lasers and ultrasound, the ‘cytophone’ detects a key byproduct of all malaria parasites.

MALARIA MINUTE EXTENDED • 26 NOVEMBER 2024

An innovative, non-invasive diagnostic tool that could revolutionize malaria testing, with the potential to be built into wearable devices.

Featuring: Sunil Parikh, Vladimir Zharov and Yap Boum.

OCTOBER
MALARIA MINUTE • 15 OCTOBER 2024

How Comparative Genomics Can Help Find the Best Treatments for Malaria

‘Comparative genomics’ helps identify genes that can serve as targets for future drugs and vaccines.

MALARIA MINUTE EXTENDED • 29 OCTOBER 2024

First Reference Genome Sequence of P. vivax from Ethiopia

How DNA from a single patient in Ethiopia can shed light on the big picture of malaria – with Jane Carlton, Delenasaw Yewhalaw, and Francisco Callejas Hernandez.

Impactful malaria science,
and the trailblazers leading the fight.
The Johns Hopkins Malaria Minute is produced by the Johns Hopkins Malaria Research Institute to highlight impactful malaria research and to share it with the global community.